Siêu Âm Phần Mềm Là Gì? Hướng Dẫn Chi Tiết 2026

Đánh giá bài viết

Khi bác sĩ chỉ định siêu âm để kiểm tra các cơ quan nội tạng, bạn đang thực hiện siêu âm phần mềm — phương pháp chẩn đoán hình ảnh quan trọng giúp đánh giá các mô mềm trong cơ thể như gan, thận, tuyến giáp, hay thai nhi. Bài viết này giải thích rõ ràng về kỹ thuật này và những điều cần biết.

Định Nghĩa Siêu Âm Phần Mềm

Siêu âm phần mềm là kỹ thuật sử dụng sóng âm tần số cao để tạo hình ảnh các cấu trúc mô mềm bên trong cơ thể — bao gồm nội tạng, mạch máu, tuyến, và các mô không phải xương. Khác với X-quang chuyên chụp xương khớp, siêu âm phần mềm tập trung vào:

  • Các tạng trong ổ bụng: gan, túi mật, lá lách, tụy, thận
  • Hệ tiết niệu: bàng quang, tuyến tiền liệt
  • Tuyến nội tiết: tuyến giáp, tuyến vú
  • Cơ quan sinh dục: buồng trứng, tử cung, tinh hoàn
  • Thai nhi trong tử cung
Đọc thêm  Top 5 phần mềm dịch tiếng anh trong game tốt nhất 2026

Ưu điểm lớn nhất: không xâm lấn, không dùng tia X, an toàn tuyệt đối cho cả thai phụ.

Các Công Nghệ Siêu Âm Hiện Đại

Siêu Âm 2D Truyền Thống

Tạo hình ảnh phẳng đen trắng theo từng lát cắt. Đây là nền tảng cho mọi kỹ thuật siêu âm khác, vẫn được dùng rộng rãi nhờ tính đơn giản và hiệu quả.

Siêu Âm 3D/4D

Siêu âm 3D cho hình ảnh khối ba chiều của thai nhiSiêu âm 3D cho hình ảnh khối ba chiều của thai nhi

Công nghệ 3D/4D tái tạo hình ảnh không gian ba chiều

Siêu âm 3D tạo hình ảnh khối từ nhiều góc nhìn, trong khi 4D bổ sung yếu tố thời gian thực — cho phép quan sát chuyển động. Ứng dụng phổ biến:

  • Theo dõi phát triển thai nhi, phát hiện dị tật bẩm sinh
  • Đánh giá cấu trúc tim, van tim
  • Kiểm tra khối u, nang

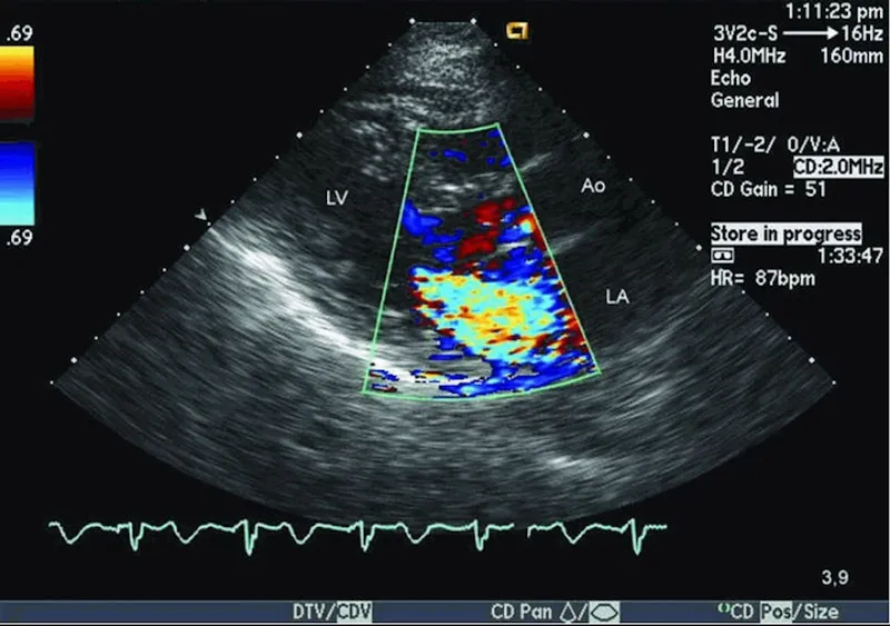
Siêu Âm Doppler

Siêu âm Doppler đo lưu lượng máu qua mạchSiêu âm Doppler đo lưu lượng máu qua mạch

Doppler đánh giá dòng chảy máu trong mạch

Kỹ thuật đặc biệt đo tốc độ và hướng dòng máu. Quan trọng khi:

  • Phát hiện tắc nghẽn động mạch, tĩnh mạch
  • Đánh giá tuần hoàn thai nhi (3 tháng cuối)
  • Chẩn đoán suy giảm lưu lượng máu đến cơ quan
  • Kiểm tra van tim, phình mạch

Khi Nào Cần Siêu Âm Phần Mềm?

Bác sĩ chỉ định siêu âm phần mềm trong các tình huống:

Tầm soát và chẩn đoán:

  • Đau bụng không rõ nguyên nhân
  • Phát hiện sỏi thận, sỏi mật
  • Kiểm tra khối u, nang tại gan, thận, buồng trứng
  • Đánh giá tuyến giáp phì đại hoặc có nốt
  • Tầm soát ung thư vú, tuyến tiền liệt
Đọc thêm  Cách chọn mua phần mềm bản quyền giá rẻ uy tín nhất 2026

Theo dõi thai kỳ:

  • Xác nhận tuổi thai, vị trí thai
  • Đo chiều dài xương đùi, đường kính đầu
  • Kiểm tra lượng nước ối, nhau thai
  • Phát hiện dị tật bẩm sinh

Hỗ trợ thủ thuật:

  • Dẫn đường khi sinh thiết gan, thận
  • Định vị khi chọc dò dịch ổ bụng
  • Hỗ trợ đặt catheter

Chuẩn Bị Trước Khi Siêu Âm

Siêu Âm Bụng Tổng Quát

⚠️ Nhịn ăn 6-8 tiếng trước khi siêu âm gan, mật, tụy. Thức ăn làm túi mật co lại, khí trong ruột che khuất hình ảnh.

Siêu Âm Tiểu Khung

💧 Uống 1-1.5 lít nước trước 1 tiếng, giữ nước tiểu để bàng quang căng giúp quan sát rõ tử cung, buồng trứng, tuyến tiền liệt.

Siêu Âm Đầu Dò Âm Đạo

🚫 Đi tiểu trước khi thực hiện — bàng quang trống mới đưa đầu dò vào được. Không áp dụng cho phụ nữ chưa quan hệ tình dục.

Lưu Ý Chung

  • Mặc quần áo rộng rãi, dễ cởi
  • Báo bác sĩ nếu vùng siêu âm có vết thương hở
  • Mang theo kết quả siêu âm cũ (nếu có) để so sánh

Câu Hỏi Thường Gặp

Siêu âm có hại không?

Không. Sóng siêu âm y khoa hoạt động ở tần số 2-18 MHz — nằm trong ngưỡng an toàn tuyệt đối. Không có bức xạ ion hóa như X-quang hay CT. WHO xác nhận siêu âm an toàn cho thai phụ và trẻ em.

Gel bôi lên da là chất dẫn âm không gây dị ứng, dễ lau sạch.

Đọc thêm  Top 5 phần mềm quản lý spa thẩm mỹ viện tốt nhất 2026

Siêu âm có đau không?

Hoàn toàn không đau. Bạn chỉ cảm thấy đầu dò lạnh di chuyển nhẹ trên da. Siêu âm đầu dò âm đạo có thể hơi khó chịu nhưng không gây đau.

Kết quả siêu âm có ngay không?

Bác sĩ siêu âm đọc hình ảnh trong khi thực hiện, thường mất 15-30 phút. Kết quả chính thức được in ra ngay sau đó hoặc trong vòng 24 giờ tùy cơ sở y tế.

Siêu âm có thay thế được CT/MRI không?

Không hoàn toàn. Mỗi phương pháp có ưu thế riêng:

  • Siêu âm: tốt cho mô mềm, không tốn kém, không bức xạ
  • CT: vượt trội với xương, phổi, chấn thương
  • MRI: chi tiết nhất cho não, tủy sống, khớp

Bác sĩ chọn phương pháp phù hợp dựa trên triệu chứng và vị trí cần kiểm tra.

Kết Luận

Siêu âm phần mềm là công cụ chẩn đoán an toàn, chính xác cho hầu hết các cơ quan nội tạng. Hiểu rõ về kỹ thuật này giúp bạn chuẩn bị tốt hơn và hợp tác hiệu quả với bác sĩ trong quá trình khám chữa bệnh.

Ngày cập nhật gần nhất 07/03/2026 by Thành Tín

Để lại một bình luận

Email của bạn sẽ không được hiển thị công khai. Các trường bắt buộc được đánh dấu *